Effective immediately there is a mandatory suspension of all non-emergency dental treatment and services. Learn More.

We accept the Canadian Dental Care Plan!
  • (780) 467-8822
  • 501 Bethel Dr #105a, Sherwood Park, AB T8H 0N2, Canada
Aspire Dental
  • Home
  • About
    • Our Team
    • Fees
    • Blog
    • Weekend Dentist
    • Giving Back
  • Services
    • Dental Bonding
    • Dental Bridges
    • Dental Checkups
    • Dental Crowns
    • Dental Fillings
    • Dental Implants
    • Dental Veneers
    • Emergency Dentistry
    • Family Dentistry
    • Inlays and Onlays
    • Invisalign
    • Periodontal Treatment
    • Root Canal Therapy
    • Teeth Whitening
    • Tooth Extractions
    • Guided Biofilm Therapy
  • Smile Gallery
  • Contact
  • Request Appointment

Smile Gallery

After photo of Anterior bridge
Case 1: Anterior bridge - After
Before photo of Anterior bridge
Case 1: Anterior bridge - Before
sideview of after Anterior bridge
Case 1: Anterior bridge - After sideview
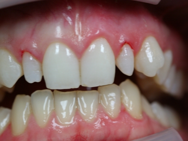
Before photo of Anterior crowns and veneers
Case 2: Anterior crowns and veneers - Before
After photo of Anterior crowns and veneers
Case 2: Anterior crowns and veneers - After
Before photo of Anterior Bonding with Laser
Case 3: Anterior Bonding with Laser - Before
After same appointment gums yet to heal - Anterior Bonding with Laser
Case 3: Anterior Bonding with Laser - After - same appointment (gums yet to heal)
Laser gingival recontouring - Anterior Bonding with Laser
case 3: Anterior Bonding with Laser - Laser gingival recontouring
Before photo of large bridge repair
Case 4: Large bridge repair - Before
After photo of large bridge repair
Case 4: Large bridge repair - After
Before photo of Veneers
Case 5: Veneers - Before
before photo of dental veneers
before-photo-of-dental-veneers
After photo of dental veneers
Case 5: Veneers - After
Before photo of veneers and crown
Case 6: veneers and crown - before
after photo of veneers and crown
Case 6: veneers and crown - after
after photo of dental veneers and crown
after-photo-of-dental-veneers-and-crown
after photo of less flash Anterior crowns and veneers
Case 2: Anterior crowns and veneers - After less flash

Contact Us

    Hours of Operation

    • Monday: 8:00am – 7:00pm
    • Tuesday: 11:00am – 7:00pm
    • Wednesday: 11:00am – 7:00pm
    • Thursday: 8:00am – 4:00pm
    • Friday: 8:00am – 4:00pm
    • Saturday: 9:00am – 3:00pm (alternating)
    • Sunday: Closed

    Contact Info

    (780) 467-8822

    [email protected]

    (780) 467-8803

    501 Bethel Dr #105a, Sherwood Park, AB T8H 0N2, Canada

    Follow Us:

     

    Contact Us

       

      Hours of Operation

      • Monday: 8:00am – 7:00pm
      • Tuesday: 11:00am – 7:00pm
      • Wednesday: 11:00am – 7:00pm
      • Thursday: 8:00am – 4:00pm
      • Friday: 8:00am – 4:00pm
      • Saturday: 9:00am – 3:00pm (alternating)
      • Sunday: Closed
       

      Contact Info

      (780) 467-8822

      [email protected]

      (780) 467-8803

      501 Bethel Dr #105a, Sherwood Park, AB T8H 0N2, Canada

      Follow Us:

      ©️ 2026 Aspire Dental. All rights reserved.

      • Home
      • Blog
      • Our Team
      • Contact